Ein Mann aus Großbritannien (40) ist der erste Patient der Welt, der seinen Penis VERTIKAL bricht, nachdem er ihn beim Sex so hart gegen seinen Partner geschlagen hat, dass er einen 3-cm-Bruch erlitt.
Erster bekannter Fall: Brite bricht sich Penis vertikal

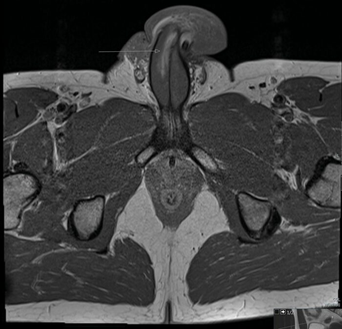
Ärzte in Großbritannien haben den ersten bekannten Fall eines vertikalen Penisbruchs beim Sex registriert.
<div class=“manual-ad“></div>
Das Glied des 40-jährigen Mannes „schnallte gegen das Perineum seines Partners“ oder den Bereich zwischen dem Anus und den Genitalien, bevor sich an seinem Schafft ein 3 cm langer Riss öffnete.
Die Ärzte sagten nicht, in welcher Position er sich befand, aber Penisfrakturen werden am häufigsten durch „Doggystyle“- und „Mann an der Spitze“-Positionen ausgelöst, schrieben sie.
<div class=“manual-ad“></div>
Es gibt keine Knochen im Penis, aber Brüche treten normalerweise auf, wenn der Penis eines Mannes aus seinem Partner rutscht und plötzlich gebogen wird, was zu schmerzhaften Schwellungen führen kann.
Mediziner, die den Patienten behandelten, der vermutlich aus York stammte, enthüllten die Geschichte in einem Fallbericht im British Medical Journal .
Sie sagten, dass alle zuvor aufgezeichneten Penisfrakturen horizontal gewesen seien.
Aber in diesem Fall spaltet es die Tunica albuginea – die Schutzschicht um den Schwellkörper, die Blut in diesen Bereich pumpt.
Der Arzt sagte, dass kein „knallendes“ Geräusch zu hören war, als der Bruch auftrat, was bei horizontalen Brüchen passiert.
<div class=“manual-ad“></div>
Aber der Penis des Patienten schwoll nach der Verletzung allmählich an.
Sechs Monate nach der Behandlung der Verletzung sagten die Ärzte, der Mann sei immer noch in der Lage, „Erektionen von der gleichen Qualität wie vor der Verletzung“ zu erreichen.
Ärzte fügten hinzu, dass es keine lang anhaltende Krümmung des Penis oder tastbare Narbenbildung gab.
Die Urologen sagten, dass 88,5 Prozent der Penisfrakturen beim Sex auftreten. Eine 20-jährige Studie ergab, dass „Doggystyle“ und „Mann an der Spitze“ die am häufigsten beschuldigten Positionen waren.
Andere Ursachen für Penisbrüche sind Masturbation, Schlafposition und Taqaandan – die Praxis des gewaltsamen Biegens des Penis, die laut dem Bericht hauptsächlich in Ländern des Nahen Ostens praktiziert wird.
Männer in ihren 40ern erleiden am wahrscheinlichsten eine Penisfraktur, die in bis zu sieben von zehn Fällen ausmacht.
Die British Association of Urological Surgeons empfiehlt, gebrochene Penisse innerhalb von 24 Stunden zu operieren, um das Risiko von Langzeitproblemen wie erektiler Dysfunktion zu verringern.
Eine Penisfraktur tritt auf, wenn das Glied einem scharfen, stumpfen Krafttrauma ausgesetzt ist, das bei kräftigem Geschlechtsverkehr oder Masturbation auftreten kann.
Seit 1924 wurden weltweit 1.600 Fälle registriert – rund 16 Fälle pro Jahr.
Forscher stellten fest, dass in 50 Prozent der Fälle ein grauenhaftes Knacken zu hören ist. Vier von fünf männlichen Opfern verloren ihre Erektion.
Diejenigen, die bereits durch einen Penisbruch traumatisiert wurden, haben oft Probleme mit erektiler Dysfunktion und ein Leben lang schmerzhaften Sex.
Blut fließt in die Schwellkörper, die entlang des Penis verlaufen und ihn während einer Erektion hart machen.
Der Trick, um Penisverletzungen zu stoppen, besteht laut Sexexpertin Tracey Cox darin, ziemlich flach zu stoßen.
Wenn Sie Ihren Partner mit einer schleifenden statt einer stoßenden Bewegung nahe an sich halten, wird das Risiko ebenfalls verringert.








