Die Nachrichtensprecherin erlag am Donnerstag, dem 28. Oktober, einer aggressiven Form von Hirntumor.
Nachrichten-Moderatorin stirbt an Hirntumor

Die Nachrichtensprecherin erlag am Donnerstag, dem 28. Oktober, einer aggressiven Form von Hirntumor.
Schon gelesen?
>> Maskenpflicht fällt ab Montag!
>> Steffi Graf in Lebensgefahr
>> Sex-Skandal bei ARD Kultserie
<div class=“manual-ad“></div>
Die Nachrichtensprecherin Jovita Moore aus Atlanta erlag am Donnerstag, dem 28. Oktober, einer aggressiven Form von Hirntumor im Endstadium, der die beliebte neue Persönlichkeit das Leben kostete.
KOSTENLOSER Testseher werden & maßgefertigte Gleitsichtbrillen sichern!
Moore, 53, eine hoch angesehene Journalistin und langjährige Mitarbeiterin von WSB-TV in Atlanta, starb sieben Monate nach der Diagnose einer unheilbaren und aggressiven Form von Hirnkrebs.
<div class=“manual-ad“></div>
Moore verstarb friedlich“, wie sie es sich gewünscht hatte, in ihrem Haus, umgeben von ihren Lieben, mit ihrer Familie an ihrer Seite, wie ihr Co-Moderator bei WSB-TV, Justin Farmer, am Freitagmorgen mitteilte.
Sie hinterlässt ihre Kinder Shelby, Joshua und Lauren, sowie ihre Mutter Yvonne.Im April 2021 entdeckten die Ärzte zwei Tumore in ihrem Gehirn, nachdem Moore über Symptome wie Orientierungslosigkeit und Ohnmachtsanfälle berichtet hatte.
„Ich war besorgt darüber, warum ich plötzlich vergesslich und desorientiert war. Ich fühlte mich einfach nicht mehr wie ich selbst und hatte das Gefühl, im Nebel zu stehen“, sagte sie im April.
<div class=“manual-ad“></div>
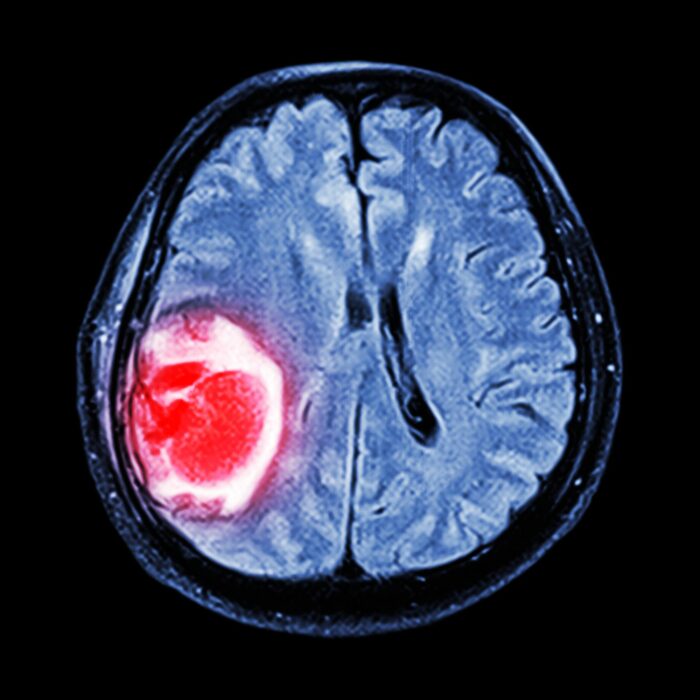
Bei Moore wurde ein Glioblastom diagnostiziert, eine aggressive Form von Krebs, die das Gehirn oder das Rückenmark befallen kann. Obwohl sich Moore im Juli dieses Jahres einer Operation sowie einer Strahlen- und Chemotherapie unterzog, um das Fortschreiten des Krebses zu verlangsamen, stellten die Ärzte fest, dass die Krankheit tödlich war und ihr Leben auf tragische Weise verkürzt werden würde.
Im Juli veröffentlichte Moore eine Botschaft über den Äther, in der es unter anderem hieß: „Diese Reise begann für mich mit ungewöhnlichen Kopfschmerzen, wenn also etwas mit Ihnen nicht stimmt, bitte ich Sie dringend, sich untersuchen zu lassen.“
Die Wahlrechtsaktivistin und ehemalige Abgeordnete des Bundesstaates Georgia, Stacey Abrams, teilte ihre Trauer über den Tod von Moore.
„Wir trauern heute um @jovitamoore, die ihre Stimme und ihre Plattform genutzt hat, um wichtige Themen hervorzuheben, die Atlantans seit mehr als 20 Jahren betreffen“, twitterte Abrams. „Möge Gott ihre Familie, ihre Angehörigen und ihre @wsbtv-Kollegen in dieser Zeit der Trauer segnen.“
<div class=“manual-ad“></div>
Moore stammte aus New York City, erwarb ihren Master-Abschluss in Rundfunkjournalismus an der Columbia University und arbeitete bei Sendern in Memphis und Arkansas, bevor sie 1998 bei WSB-TV anfing.
Dort berichtete sie über alles Mögliche, von der historischen Amtseinführung des ehemaligen Präsidenten Barack Obama bis hin zu ihren Erfahrungen bei einer Myomoperation.








